0
Skip to Content
Home
About
Our Team
Tour the Office
Services
New Patient
Gallery
COVID-19
SCHEDULE ONLINE
Open Menu
Close Menu
SCHEDULE ONLINE
Home
About
Our Team
Tour the Office
Services
New Patient
Gallery
COVID-19
Open Menu
Close Menu
Home
Folder:
About
Back
Our Team
Tour the Office
Services
New Patient
Gallery
COVID-19
SCHEDULE ONLINE
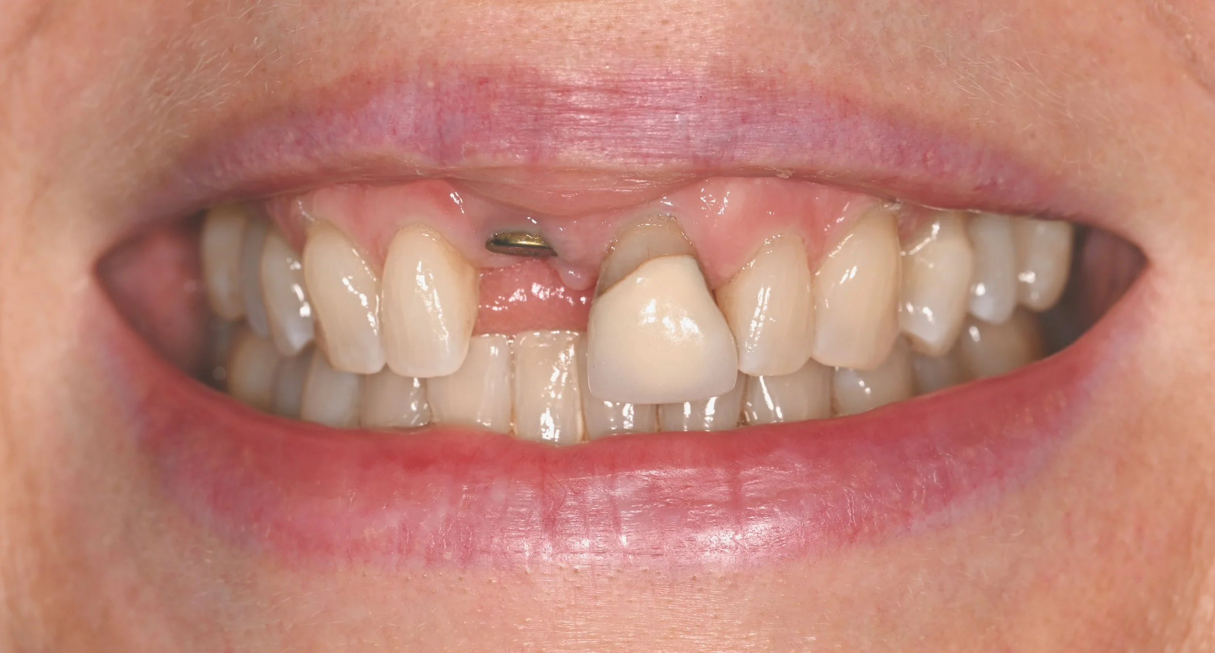
SMILE TRANSFORMATIONS: Before & After